Zum Inhalt springen

Zahniportal-Blog

Wetterfühlige Zähne

Neulich im Notdienst, als ganz Deutschland von dem Tief heimgesucht wurde, dass für die Überschwemmungen verantwortlich war, habe ich eine interessante Entdeckung gemacht.

Scheinbar kann man Wetterwechsel nicht nur in den Knochen, alten Narben und im Kopf spüren - sondern auch in den Zähnen!

398235_390404041036216_854855929_nDie meisten Patienten an diesem Abend hatten plötzlich Beschwerden an einem retinierten/verlagerten Weisheitszahn (bei allen der 38 ^^). Der übrige Teil kam mit plötzlichen Abszessbildungen und schmerzhaften Endos, die bereits mit einer medikamentösen Einlage behandelt wurden.

 

Im Gespräch mit dem diensthabenden Arzt und später mit meinem Vater stellte sich dann heraus, dass diese Phänomene typisch für diese Wetterlage sind. Wieder was gelernt.

 

Gestern haben wir unsere Kons-Abschlussklausur geschrieben, die leider uuuunfassbar schwer war und der die klinischen Bezüge fast vollständig fehlten...

Mal gucken, ob ich bestanden hab.

Leider wartet die nächste Klausur schon hinter der nächsten Ecke. Diesmal will Prothetik abgeschlossen werden.

 

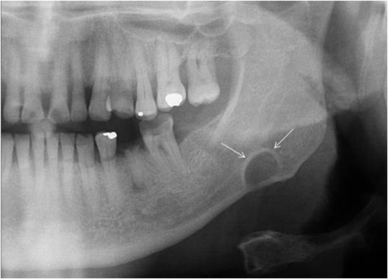
So sieht se aus die Stafne.

 

Parallel zum Lernen, muss ich gerade eine Krankengeschichte im Rahmen des OP-Kurs II verfassen, die dann nächsten Freitag vor dem gesamten Semester vorgetragen werden soll. Ein Glück bin ich eine Koryphäe auf dem Gebiet der mündlichen Präsentation. Nicht.

 

Dafür ist das Thema unserer Krankengeschichte recht interessant. Es geht um eine Stafne-Zyste, die eigentlich gar keine Zyste ist, sondern ein gutartigen Knochendefekt im Unterkiefer unterhalb des Mandibularkanals, die durch den Druck der Glandula submandibularis entsteht.

 

Jetzt gehts noch zum Unisport (Rücken, liebe Leute, RÜCKEN!) und dann wird weiter geschrieben ;D

Alles wird gut,

euer Boxenluder